La sonrisa que querés

Odontología estética y salud dental con un enfoque profesional y personalizado.

Anímate a sonreír sin límites.

Mis servicios odontológicos

Soluciones integrales para la salud y estética de tu sonrisa.

WhatsApp Agendar Cita
Dra. Shemfire

Sobre mí

¡Hola! Soy la Dra. Marta Apodaca. Mi pasión es combinar la salud dental con la estética, creando sonrisas naturales que devuelvan la confianza a mis pacientes.

Egresé de la Facultad de Odontología Pierre Fauchard y cuento con capacitaciones avanzadas en endodoncia y odontología orofacial, lo que me permite ofrecer un diagnóstico completo y preciso.

Mi compromiso es escucharte, entender tus objetivos y diseñar un plan de tratamiento a tu medida, usando siempre la mejor tecnología en un ambiente relajado y profesional.

Medalla de Oro

Medalla De Oro

Soy la mejor egresada de la facultad de odontología, medalla de oro.

Resultados reales

Mirá los trabajos que realicé. Resultados naturales que devuelven la salud y la estética a cada paciente.

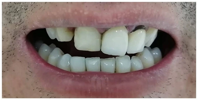
Antes

Caso 1 - Antes del tratamiento

Después

Caso 1 - Después del tratamiento

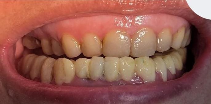
Antes

Caso 2 - Antes del tratamiento

Después

Caso 2 - Después del tratamiento

Antes

Caso 3 - Antes del tratamiento

Después

Caso 3 - Después del tratamiento

Antes

Caso 3 - Antes del tratamiento

Después

Caso 3 - Después del tratamiento

Pacientes felices, sonrisas reales

Mi mayor satisfacción es ver el resultado final. Mirá lo que opinan mis pacientes de mi trabajo.

Fue realmente excelente

Mi experiencia con la Dra. Marta desde el primer momento mostró una gran dedicación, paciencia y calidez humana. Me explicó cada procedimiento con claridad, transmitió mucha confianza y se nota su compromiso con brindar el mejor resultado posible. El consultorio me pareció impecable, con equipos modernos y un ambiente muy agradable. Sin duda, una profesional altamente recomendable por su trato, su ética y la calidad de su trabajo.

Ninfa Torres

Volví a sonreír, gracias a ella

Con mucha pena me acerqué para contarle mi situación, la verdad con miedo de escuchar que no se podía hacer nada. Pero sin dudarlo, ella me brindó la esperanza que tanto necesitaba. Gracias a su profesionalismo, dedicación y calidez humana, hoy puedo sonreír con confianza nuevamente. La recomiendo con todo mi corazón, una verdadera profesional que transforma sonrisas y devuelve la seguridad.

Vanessa González

Mucho más que una visita al dentista

Su eficiencia y dedicación son admirables, su trato humano hace que cada consulta se sienta como una conversación entre amigas. Tiene la capacidad única de combinar la excelencia profesional con una empatía genuina, logrando que uno se sienta cuidado, comprendido y escuchado. Gracias a su trabajo hoy puedo sonreír con confianza, pero también con gratitud. La Dra. Marta además de ser mi odontóloga muchas veces es mi psicóloga.

Mirian Centurión

Eres la mejor odontóloga

Gracias Dra Marta!! Eres la mejor. Tu profesionalismo y amabilidad siempre con una sonrisa y ha mejorado mi seguridad al sonreír. Estoy muy agradecida por tu trabajo. Muchas gracias !!!!

Rossana Salas

Agendá tu consulta

¿Lista para una sonrisa más brillante y saludable? Agendar tu cita es fácil y sin complicaciones.

Lunes y Jueves

9:00 a. m. a 7:00 p. m.

Viernes a Domingo

Cerrado

Ubicación

Dirección

Salvador del Mundo 530, Asunción 001524